近日,八一医院外科成功完成了一台极具创新性的胫骨骨折切开复位髓内钉内固定手术。该手术打破了传统骨折大刀口复位钢板固定的局限,不仅为患者减轻了病痛,也为我院在外伤骨科手术领域积累了宝贵的经验。

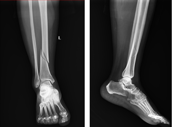
患者陈女士因意外跌伤,导致左小腿肿痛并伴有功能障碍,随即紧急前往我院外科就诊。入院后,外科医师团队迅速对陈女士进行了全面的身体检查,并结合其病史、体征及清晰的影像学检查,明确诊断为左侧胫骨下段骨折。
鉴于病情及患者意愿,我院外科医师团队立即为陈女士完善了相关术前准备工作,排除手术禁忌症。经过内科、麻醉科等多学科医师的联合会诊,一致认为陈女士身体状况符合手术条件,在制定了严谨的手术方案后,顺利开展左胫骨下段骨折切开复位髓内钉内固定手术。
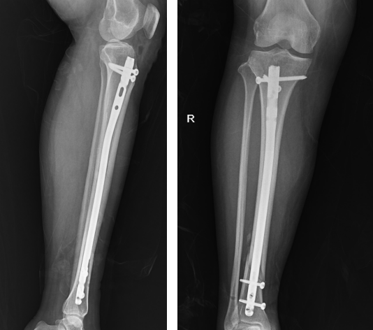
手术过程顺利,术后的影像学检查显示,骨折部位得到了精准复位和固定。与传统的骨折切开复位钢板内固定手术相比,此次采用的髓内钉内固定术具有切口小、创伤少、固定效果好等显著优势,极大地缩短了骨折愈合时间和患者行动能力的恢复周期,有效减轻了患者的痛苦。

术后复查
此次手术的成功实施,不仅彰显了八一医院外科团队在骨科领域的深厚技术积累和卓越协作能力,也体现了八一医院对创新医疗技术的不懈追求。八一医院外科将继续秉承“解患者之病痛”的宗旨,不断探索和应用先进的医疗技术,为广大患者提供更加优质、高效的医疗服务。常规手术:各种四肢骨折复位固定治疗、髋关节置换术及翻修术、四肢皮肤软组织及神经损伤修复重建术、烧伤、烫伤后植皮整形等。四肢创伤及骨科疾病诊治:皮肤软组织及肌腱神经损伤、四肢骨折、股骨头坏死、骨性关节炎、类风湿性关节炎、关节结核及肿瘤等骨科疾病的诊断和治疗。脊柱相关疾病诊治:腰椎间盘突出及各种退行性病变传统手术,胸腰椎骨质疏松症、压缩骨折、脊椎骨折及退行性变引起的腰背肢体疼痛、麻木等。普外科手术:主要开展甲状腺切除术及胃肠疾病各种手术、肝胆胰腺手术、肠粘连分离术、吻合器包皮环切术、吻合器痔疮环切术及二级医院常规开展的腹腔镜一胆囊切除术、肝囊肿开窗术、疝修补术、消化性溃疡穿孔修补术、阑尾切除术、精索静脉曲张高位结扎术等手术。泌尿系统疾病:开展泌尿系结石取出手术(经皮肾手术等)。其他特色手术:包皮和痔疮PPH微创手术(PPH环切器微创手术是当今最好的无痛微创治疗痔疮的诊疗方法,时间短痛苦少),腋臭切除术及胸腔闭式引流等手术。★骨关节与软组织疼痛(膝关节痛、肌筋膜炎、网球肘、腱鞘炎、肌肉损伤、早中期股骨头坏死等)